Preclinical Data

In vivo

  • Treatment: Low-dose MSCs (1×10⁶) + ATP.
  • Results:
    • Significantly increased hair growth
    • Higher proportion of areas with intense or complete regrowth by day 21 compared to control (p <0.05)
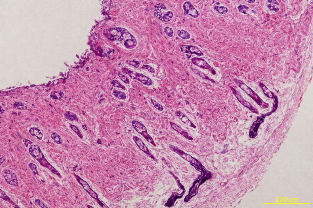
    • Histopathology (day 21): Increased follicle density and bulb diameter vs controls.
  • Conclusion:
    • A synergistic effect of MSCs + ATP was observed, exceeding the effects of high-dose MSCs or ATP alone.

Hair growth in AGA mouse model

Control
AGAcell®
Control male
Low-dose AGAcell®

Bran EL, et al. Stem Cell Res Ther. 2025;16(1):292.a

In vitro

  • Product stability: 96 h with 96% cell viability.
  • CMC processing: Cells primed 48 h before and during packaging, upregulating key hair growth–promoting factors (IGF-1, FGFs).
  • Conclusion: Activated MSCs combined with ATP support follicle homeostasis and cycling.

Browse through our resources​